Minimally Invasive Dentistry is a bit of a buzz phrase at the moment. The idea is to provide the best possible care with the minimal amount of damage to the teeth. Truthfully speaking, this is how we’ve always tried to care for our patients’ teeth at Lindley Dental, however advances in technology are meaning we can offer better results, sometimes without using drills.
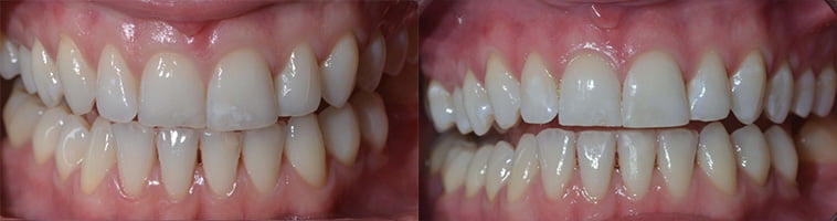
One such treatment is the removal of white or brown spots from front teeth. These unsightly areas, like the ones Gareth had, pictured below, on the most obvious teeth at the front of the mouth, can cause considerable distress. Previously, the only way to remove them would be to drill the enamel away and mask them with white fillings. Now however, we can use a new technique call resin infiltration to dissolve away the defective white enamel, and coat it with a clear resin that gives a final result which looks near identical to the natural tooth structure. All of this is done without drills, and without the need for local anaesthetic!
![]()
This treatment can be carried out quickly and easily with great results and as you can guess, Gareth was very happy with this result. We might even add in some tooth whitening after this.
Minimally Invasive Dentistry is definitely the future and we are pleased that we have been practising this form of dentistry for many years at Lindley Dental in Huddersfield.
If you have discoloured teeth that concern you and you would like to see which options are available, do get in touch and let’s see how we can help.
Karl Walker-Finch






