What’s the news…
Hello and welcome to our March newsletter. Hopefully the weather is getting warmer and the days longer.
So, what have we been up to?
So, we once again completed resuscitation training in the practice. It’s a day’s learning we hope to never need. Thank you to Andrew Bardley for a lovely lunch to keep us going.
Lovely to see nurses Jackie, Joanna and Jess G in the practice, we look forward to their return-to-work next month.
Annalease one of our nurses is now starting training as an oral health educator, also Abi our trainee nurse is nearly qualified.
Dentist’s Thomas and Dav are on with their advanced restorative dentistry course.
The learning never stops in Dentistry as it is always changing.
Do ask us if you would like to improve your smile’s appearance or improve your oral comfort. Things do change and the modern answer maybe easier than you thought.
Enjoy Spring

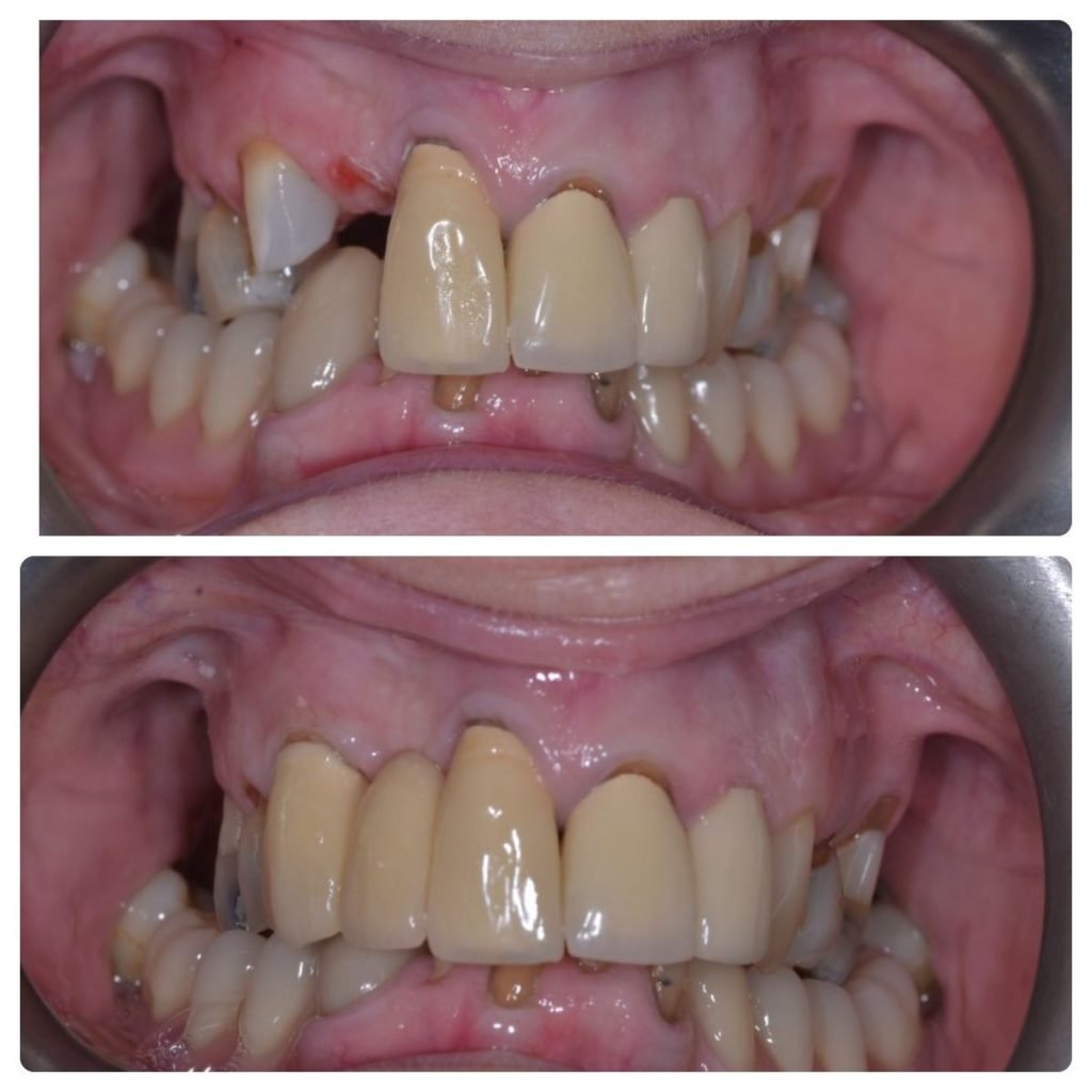
Bridges by Dr Thomas Farrar
Bridges can be a good solution for a gap in your smile.
This patient has had a traditional style bridge which means that the tooth next to the gap is crowned and has a tooth attached. This makes chewing easier and looks good.
Great work Thomas!

We say goodbye to Amber
We say goodbye to dental nurse Amber.
She is going to be a locum nurse which means we may still see her from time to time
We wish her all the best on her new ventures.
We have received some lovely reviews recently
“Lindley dental practice provides an excellant service. All the staff are very professional, pleasant and i trust them 100%.”






